


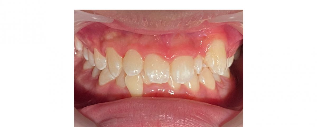
A 14 years old boy presented to our clinic with severe class I malocclusion. His upper left canine is completely squeezed out of the dental arch, upper left central incisor and lateral incisor are rotated. Lower dental arch is narrow and also having severe crowding on lower incisors. Lower right lateral incisor is displaced completely out from the dental arch.


Problems List 1. Severe crowding of upper & lower anterior teeth 2. Narrow dental arch 3. Class I malocclusion 4. Occlusal canting 5. Unpleasant smile Treatment Objectives 1. Relief the crowding 2. Develop dental arch 3. Correct to Class I occlusion 4. Improve Smile 5. Maintain facial profile Treatment Plan and Execution 1. Non-extraction approach 2. Bonded Damon Q2 passive self ligating brackets 3. Dental arch expansion & adaptation 4. Level & align to resolve crowding 5. Finishing detailing 6. Retention
Treatment Completed in 21 months, all treatment objectives met.







